Internistische Minilaparoskopie
Start
/
Atlas
/
Milzbiopsie
/
Start
Minilaparoskopie
Atlas
Kontakt
Haftung
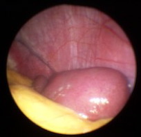
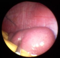
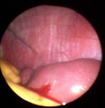
Milzbiopsie bei Sarkoidose
Zurück zum Atlas