Internistische Minilaparoskopie
Start
/
Atlas
/
PSC mit CCC
/
Start
Minilaparoskopie
Atlas
Kontakt
Haftung
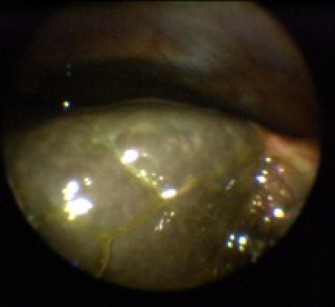
Primär sklerosierende Cholangitis (PSC) mit cholangiozellulärem Carcinom (CCC)
Zurück zum Atlas